
26 марта 2026, 15:48
Обнародован высокодетализированный атлас развития человеческого мозга
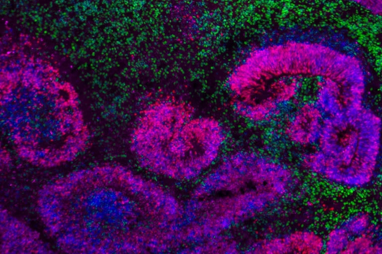
Ученые из Университета Джонса Хопкинса опубликовали беспрецедентный клеточный атлас развивающегося неокортекса, объединив данные почти 200 независимых исследований. Медиа уже успели окрестить это «рас

25 марта 2026, 12:32
В ННГУ представили программа для оценки биологического возраста и здоровья мозга
Учёные ННГУ запатентовали приложение для оценки биологического возраста и здоровья мозга. Создание позволяет за 15 минут оценить скорость старения мозга и выявить ранние признаки когнитивных нарушений

20 марта 2026, 11:47
Роботы научились считывать сигналы мозга для предотвращения ошибок в реальном времени
Исследователи из Университета штата Оклахома пытаются решить проблему ошибок в работе робототехники, обучая машины реагировать на человеческие инстинкты в режиме реального времени. Команда разрабатыва
13 марта 2026, 14:03
Китай одобрил начальный имплантат в головной мозг для коммерческого использования
Китай одобрил первый в истории инвазивный продукт для интерфейса «мозг — компьютер», что стало важной вехой в стремлении китайских стартапов бросить вызов американским конкурентам. Читать далее
11 марта 2026, 10:17
Cortical Labs запустил маленький ЦОД на человеческих нейронах
Австралийский стартап Cortical Labs, который разрабатывает «синтетический биологический интеллект», запустил небольшой центр обработки данных на основе биокомпьютеров с живыми человеческими нейронами.

26 февраля 2026, 16:46
«Биологический компьютер» на основе клеток мозга научили играть в Doom
Австралийская компания Cortical Labs, год назад представившая персональный компьютер CL1 на основе 200 тысяч живых человеческих нейронах, научила девайс самостоятельно играть в Doom. Читать далее

26 февраля 2026, 08:19
Ученые выяснили, почему у некоторых людей мозг не стареет
Группа исследователей обнаружила, что мозг людей с исключительной памятью в 80+ лет (так называемых SuperAgers) продолжает активно формировать новые нейроны. Это открытие опубликовано в журнале Nature